pediatric dental care
Please sign in so that we can notify you about a reply
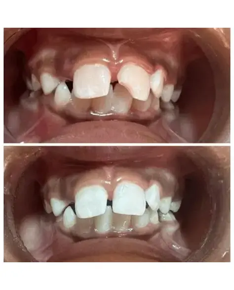
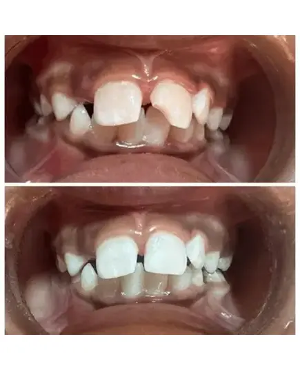
Pediatric dental care focuses on the oral health of children from infancy through adolescence, emphasizing preventive care and specialized treatment to ensure healthy teeth and gums.
No reviews found
Sign Up